Nowe zęby w 1 dzień . Historia uśmiechu Jadwigi.
- Szczegóły
Przez wiele lat Pani Jadwiga skupiała się na tym, co dla niej najważniejsze – rodzinie. Z oddaniem zajmowała się domem i wychowywała dzieci. Jak sama przyznaje, zawsze była osobą pogodną i towarzyską, jednak z czasem jej uśmiech zaczął znikać z twarzy.
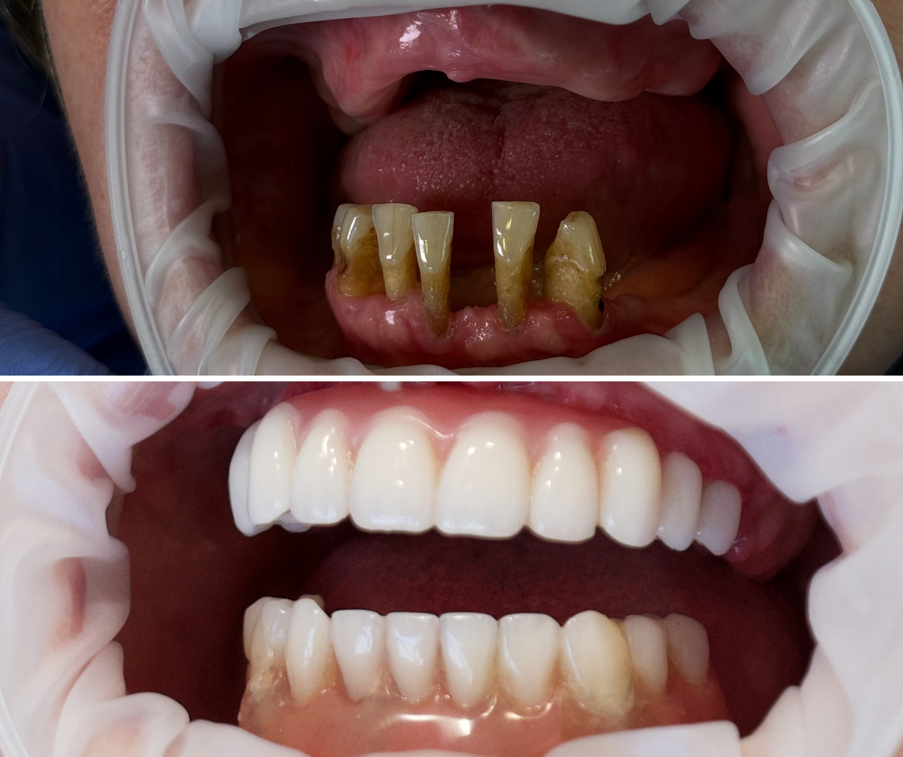
Od kilku lat nosiła protezy ruchome, które z początku dawały pewne ukojenie, ale z biegiem czasu zaczęły sprawiać coraz więcej problemów. Protezy przesuwały się, wypadały podczas jedzenia i rozmów, powodowały ból i otarcia. Każdy posiłek czy spotkanie z bliskimi wiązało się ze stresem i skrępowaniem.
„Nie mogłam spokojnie zjeść nawet kawałka jabłka. Bałam się śmiać, bo proteza potrafiła się przesunąć. Czułam się coraz mniej sobą.” – wspomina Pani Jadwiga.
Za mało kości na implanty.
Na poprawę komfortu życia Pani Jadwiga zdecydowała się dopiero na emeryturze. Wreszcie mogła pomyśleć o sobie – o zdrowiu, wygodzie i uśmiechu, który przez lata odkładała na później.
Próbowała szukać pomocy w różnych klinikach stomatologicznych. Niestety, wszędzie słyszała podobne słowa:
„Za mało kości na implanty.”
Lekarze proponowali przeszczepy kości, co oznaczałoby długie i kosztowne leczenie.
Nadzieja w Malo Clinic.
Sytuacja zmieniła się, gdy jej mąż, Pan Mirosław, przeszedł w czerwcu 2025 roku w Malo Clinic w Warszawie zabieg natychmiastowej odbudowy zębów – w szczęce i żuchwie, w zaledwie jeden dzień. Efekt przeszedł ich oczekiwania: piękny, naturalny uśmiech, komfort podczas jedzenia i rozmów oraz widoczna odmiana w wyglądzie.
Widząc tę przemianę, Pani Jadwiga postanowiła, że również spróbuje.
Zachęcona sukcesem męża, umówiła się na konsultację do doktora Armando Lopes – jednego z najlepszych specjalistów Malo Clinic, zajmującego się najtrudniejszymi przypadkami.
Diagnostyka i plan leczenia
Po wykonaniu pełnej diagnostyki, obejmującej:
- badanie stomatologiczne i ocenę jamy ustnej,
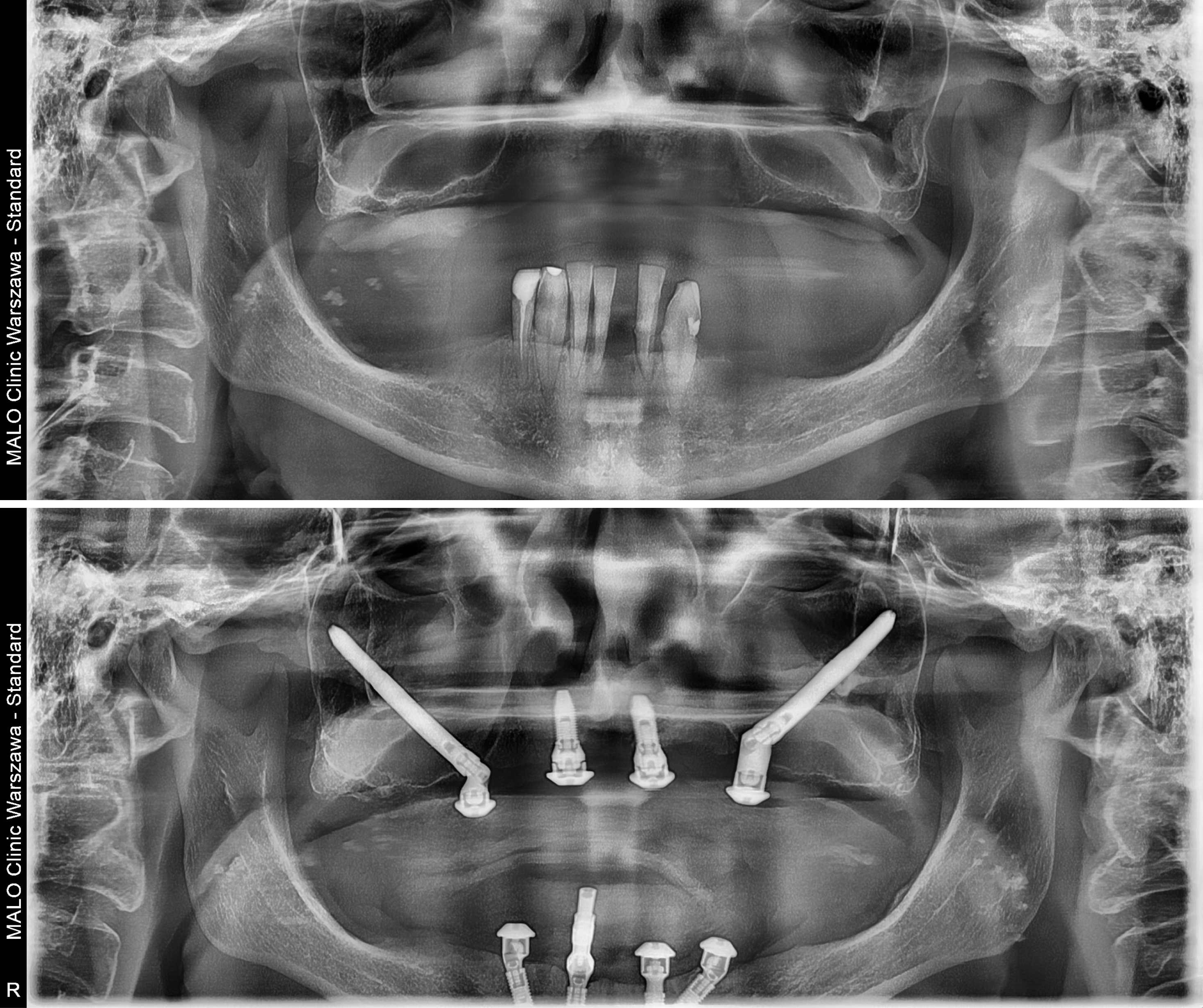
- zdjęcie panoramiczne (OPG),
- tomografię komputerową,
- analizę stanu zdrowia ogólnego,
zespół specjalistów zakwalifikował Panią Jadwigę do zabiegu Malo Clinic Protocol – w stopniu Hybrid (połączenie implantów klasycznych i zygomatycznych) w szczęce oraz High Skill w żuchwie (cztery implanty klasyczne w miejscach o największej gęstości kości).
Dzięki nowoczesnej technologii i doświadczeniu zespołu udało się uniknąć przeszczepu kości, mimo znacznego zaniku.
Zabieg – nowe zęby w 1 dzień
W dniu zabiegu przeprowadzono:
- Usunięcie zębów, które nie nadawały się do zachowania,
- Wszczepienie czterech implantów w górnym łuku (2 klasyczne z przodu i 2 zygomatyczne w kości jarzmowej),
- Wszczepienie czterech implantów klasycznych w żuchwie,
- Osadzenie dwóch mostów tymczasowych Malo Clinic Bridge, wykonanych tego samego dnia w laboratorium protetycznym.
- Już po kilku godzinach Pani Jadwiga mogła jeść, mówić i uśmiechać się bez obaw.
„Nie mogłam uwierzyć, że to możliwe. Po tylu latach wreszcie mogłam normalnie zjeść, porozmawiać z dziećmi, spojrzeć w lustro i się uśmiechnąć.” – opowiada wzruszona Pani Jadwiga.


Rekonwalescencja i dalsza opieka.
Po okresie 4 miesięcy, gdy implanty w pełni zintegrują się z kością, Pani Jadwiga otrzyma docelowe mosty Malo Clinic Bridge, wzmocnione belką tytanową dla maksymalnej trwałości.
Każdy pacjent implantologiczny w Malo Clinic objęty jest stałą opieką kontrolną:
- początkowo co 2–4 miesiące,
- później co 6 miesięcy.
Dzięki temu nowy uśmiech pozostaje zdrowy, stabilny i piękny przez wiele lat.
Efekty leczenia – nowy rozdział życia
Dziś Pani Jadwiga z dumą mówi, że leczenie w Malo Clinic odmieniło jej życie.
Znów z radością spotyka się z bliskimi, śmieje się, je ulubione potrawy i cieszy się każdym dniem.
Efekty:
- Stabilny, naturalny uśmiech – bez wypadania protez,
- Odmłodzony wygląd i większa pewność siebie,
- Możliwość jedzenia bez ograniczeń,
- Wygoda i łatwość codziennej higieny,
- Wsparcie i inspiracja w osobie męża.
Do końca listopada 2025 obowiązuje oferta specjalna – „Zacznijcie od uśmiechu razem”
Dla pacjentów zainteresowanych leczeniem metodą Malo Clinic Protocol, Nowe zęby w 1 dzień dostępna jest specjalna oferta:
-20% rabatu na zabieg dla osób indywidualnych i par po pozytywnej kwalifikacji medycznej
Dla par – dodatkowo:
- 🏨 2 noce w hotelu dla dwojga,
- 🍽️ Kolacja po zakończeniu procesu diagnostycznego.
Uwaga: każdy pacjent przed przystąpieniem do leczenia przechodzi pełną diagnostykę medyczną, której wyniki decydują o możliwości wykonania zabiegu. Promocja dotyczy jedynie osób, które zostaną zakwalifikowane do leczenia. Oferta specjalna obowiązuje do 30 listopada 2025 r.
👉Nie wiesz, czy się kwalifikujesz?
Konsultacje kwalifikujące do zabiegu Malo Clinic Protocol odbywają się:
- w Malo Clinic w Warszawie,
- w Punktach Konsultacyjnych Malo Clinic w Rzeszowie, Szczecinie i we Wrocławiu.
- https://maloclinics.pl/kontakt
- T: +48 22 393 63 33
- T: +48 516 039 713
