Metamorfoza uśmiechu Pana Mirosława „Nowe zęby w 1 dzień”
- Szczegóły
Mirosław ma 67 lat, kocha rower, wolność i życie. Ale przez lata unikał… uśmiechu. Dziś znów się uśmiecha. Dlaczego? Bo zdecydował się na leczenie metodą, która pozwoliła mu odzyskać komfort i pewność siebie. Mirek to osoba aktywna, pełna pasji do życia – szczególnie do kolarstwa.
W przypadku Pana Mirosława istotne było to, że jest osobą bardzo aktywną. Tradycyjna proteza nie zapewniała mu odpowiedniej stabilności – podczas wysiłku potrafiła się przemieszczać. Po leczeniu metodą All-on-4 wrócił do aktywności bez obaw i z uśmiechem.
Decyzja o leczeniu w Malo Clinic
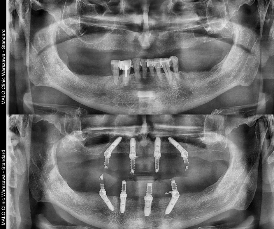
Po rozmowie z rodziną, Pan Mirosław postanowił skonsultować się ze specjalistami w zakresie implantologii. Zgłosił się do Malo Clinic, gdzie został objęty kompleksową diagnostyką i kwalifikacją do leczenia. Po analizie stanu zdrowia i wyników badań, lekarz zaproponował mu leczenie z wykorzystaniem metody Malo Clinic Protocol techniką All-on-4® w górnym i dolnym łuku zębowym.
Czym jest Malo Clinic Protocol?
To nowoczesna metoda leczenia braków uzębienia, opracowana ponad 25 lat temu przez zespół Malo Clinic w Portugalii. Polega na osadzeniu pełnego łuku zębowego na czterech implantach, co umożliwia przywrócenie funkcji żucia, estetyki i komfortu w krótkim czasie – przy spełnieniu odpowiednich warunków medycznych.
Co wyróżnia metodę "nowe zęby w 1 dzień"?
- Nie wymaga implantowania każdego zęba osobno.
- Pozwala uniknąć przeszczepów kości.
- Leczenie obejmuje usunięcie zębów, wszczepienie implantów i tymczasową odbudowę w trakcie jednego dnia zabiegowego – po wcześniejszym dokładnym zaplanowaniu i kwalifikacji.



Jak wygląda kwalifikacja do zabiegu?
Konsultacja i kwalifikacja medyczna: każdy przypadek oceniany jest indywidualnie. Konieczne są:
- badanie jamy ustnej,
- zdjęcie panoramiczne (OPG),
- tomografia komputerowa,
- analiza ogólnego stanu zdrowia pacjenta.
Plan leczenia:
Po zakwalifikowaniu do zabiegu, Opiekun Pacjenta przedstawia:
- indywidualny plan leczenia,
- kosztorys (uwzględniający rabaty),
- harmonogram wizyt,
- opcje płatności – w tym możliwość rozłożenia na raty.
Zabieg Malo Clinic Protocol:
W ciągu jednego dnia zabiegowego, po usunięciu zębów (jeśli to konieczne), możliwe jest wszczepienie implantów i osadzenie tymczasowego mostu, który umożliwia mówienie, jedzenie i uśmiechanie się już po kilku dniach.
Opieka po zabiegu:
Po około 4 miesiącach, gdy implanty zintegrują się z kością, wykonywana jest ostateczna praca protetyczna – Malo Clinic Bridge, indywidualnie dopasowana do pacjenta. W Malo Clinic każdy pacjent implantologiczny jest zobowiązany do:
regularnych kontroli implantologicznych co 6 miesięcy u naszych wykwalifikowanych higienistek.
To nie tylko kwestia estetyki – to profilaktyka zapalenia tkanek okołowszczepowych (periimplantitis) i utrzymania stabilności zarówno implantów, jak i całej konstrukcji protetycznej. Pacjenci, którzy przestrzegają tych zasad, cieszą się trwałymi efektami przez wiele lat.

Kto może skorzystać z tej metody?
Leczenie metodą Malo Clinic Protocol może być rozważane u osób:
- z całkowitym bezzębiem,
- z zębami w bardzo złym stanie, nienadającymi się do leczenia,
- które nie mogą nosić ruchomych protez z powodu dyskomfortu, odruchu wymiotnego lub ich niestabilności,
- którym powiedziano, że mają za mało kości pod klasyczne implanty (dzięki specyficznemu ustawieniu implantów, często można uniknąć przeszczepu),
- ostateczna decyzja o kwalifikacji należy wyłącznie do lekarza.
Estetyka, komfort i pewność siebie – ale przede wszystkim zdrowie
Dla wielu pacjentów najważniejsze są efekty, które widzą w lustrze – naturalny wygląd, swobodny uśmiech, komfort jedzenia i pewność siebie w relacjach z innymi. Jednak jako lekarze stomatolodzy, naszym głównym celem są korzyści medyczne, które ta metoda może zapewnić: przywrócenie prawidłowej funkcji żucia, stabilizacja zgryzu, wsparcie dla tkanek twarzy, co zapobiega ich zapadaniu się, ochrona przed dalszym zanikiem kości i wiele innych.
Oferta specjalna – „Zacznij od uśmiechu” / „Zacznijcie od uśmiechu razem”
Dla pacjentów zainteresowanych leczeniem metodą Malo Clinic Protocol dostępna jest aktualnie specjalna oferta:
-20% rabatu na zabieg dla osób indywidualnych po pozytywnej kwalifikacji medycznej. Oferta specjalna obowiązuje do 30 listopada 2025 r.
Dla par – dodatkowo:
🏨 2 noce w hotelu dla dwojga,
🍽️ Kolacja po zakończeniu procesu diagnostycznego.
Uwaga: każdy pacjent przed przystąpieniem do leczenia przechodzi pełną diagnostykę medyczną, której wyniki decydują o możliwości wykonania zabiegu. Promocja dotyczy jedynie osób, które zostaną zakwalifikowane do leczenia.
👉Nie wiesz, czy się kwalifikujesz?
Konsultacje kwalifikujące do zabiegu Malo Clinic Protocol techniką All-on-4® odbywają się:
- w Malo Clinic w Warszawie,
- w Punktach Konsultacyjnych Malo Clinic w Rzeszowie, Szczecinie i we Wrocławiu.
- https://maloclinics.pl/kontakt
- T: +48 22 393 63 33
- T: +48 516 039 713
